Your Trusted Dentist in Lendrum Providing Caring and Convenient Dentistry in Edmonton Since 1987
Always Welcoming New Patients
Direct Billing to Your Insurance
Accepting Patients On the CDCP Plan
Over 400 5 Star Reviews On Google!
What to expect at your first visit To Our Dental Clinic in Lendrum
Congratulations! You’ve just taken the first step to joining a dental family that is fully committed to being part of your journey to excellent oral health for life. Making the choice of a new dental care provider for your family can be a hard one. And you want to know this choice is the right one for your family. We encourage you to explore our website for answers to your oral health questions … starting with what to expect at your first appointment.
Meet Our Lendrum Dentists Near You
Dr. Jason Nijjer
I am lucky to enjoy many sides of dentistry. In particular, I have an interest in orthodontic treatment – especially early childhood treatment and the use of functional appliances to help fulfill growth potential – and using dental implants to
Dr. Jason Nijjer
Dr. Mary Ann
I perform a wide range of services and my areas of interest are TMJ pain management, aesthetic and bite issues, dental implants, and root canal therapy. I have a wonderful team who share my vision and purpose, a great business
Dr. Mary Ann
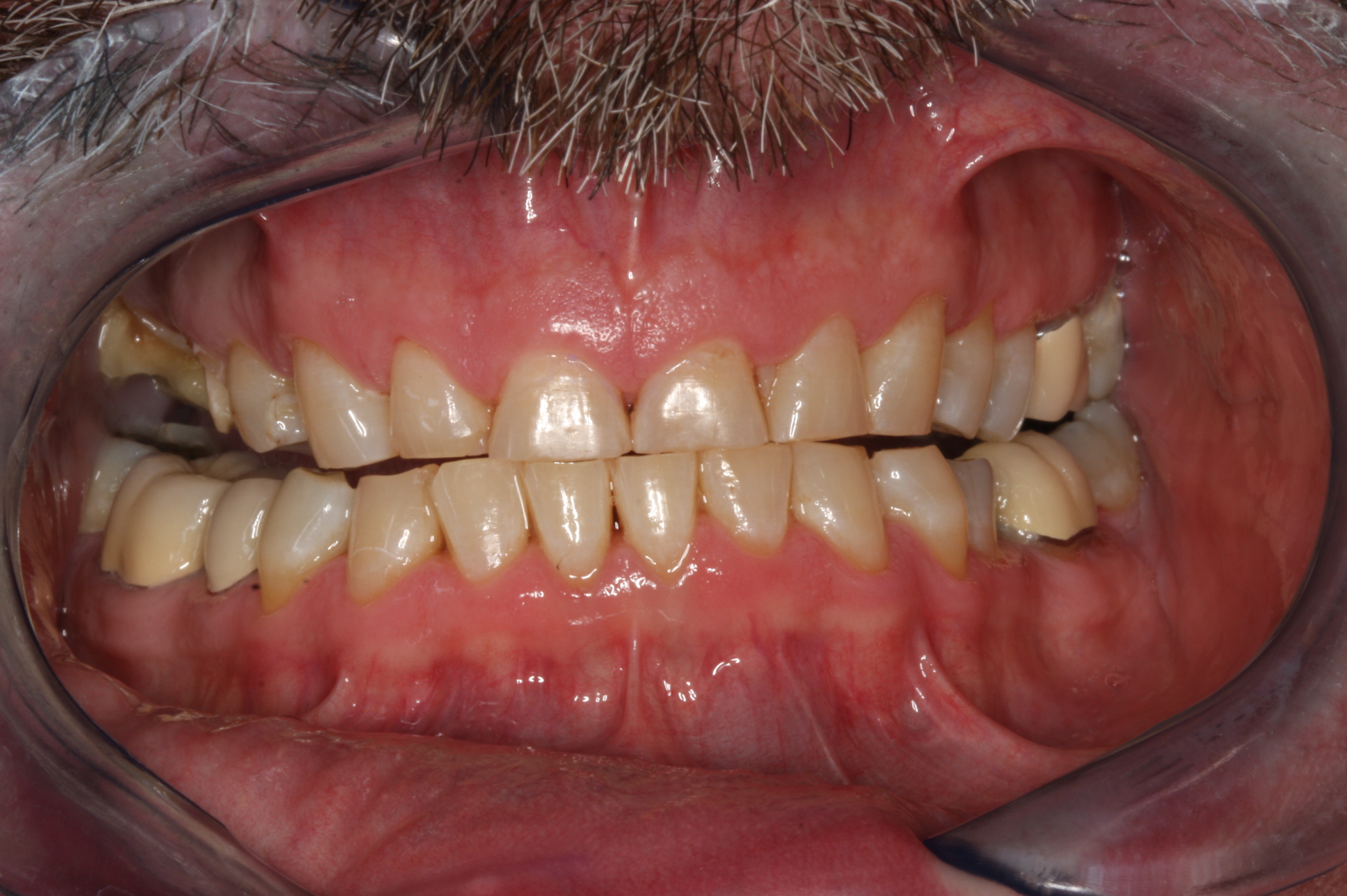
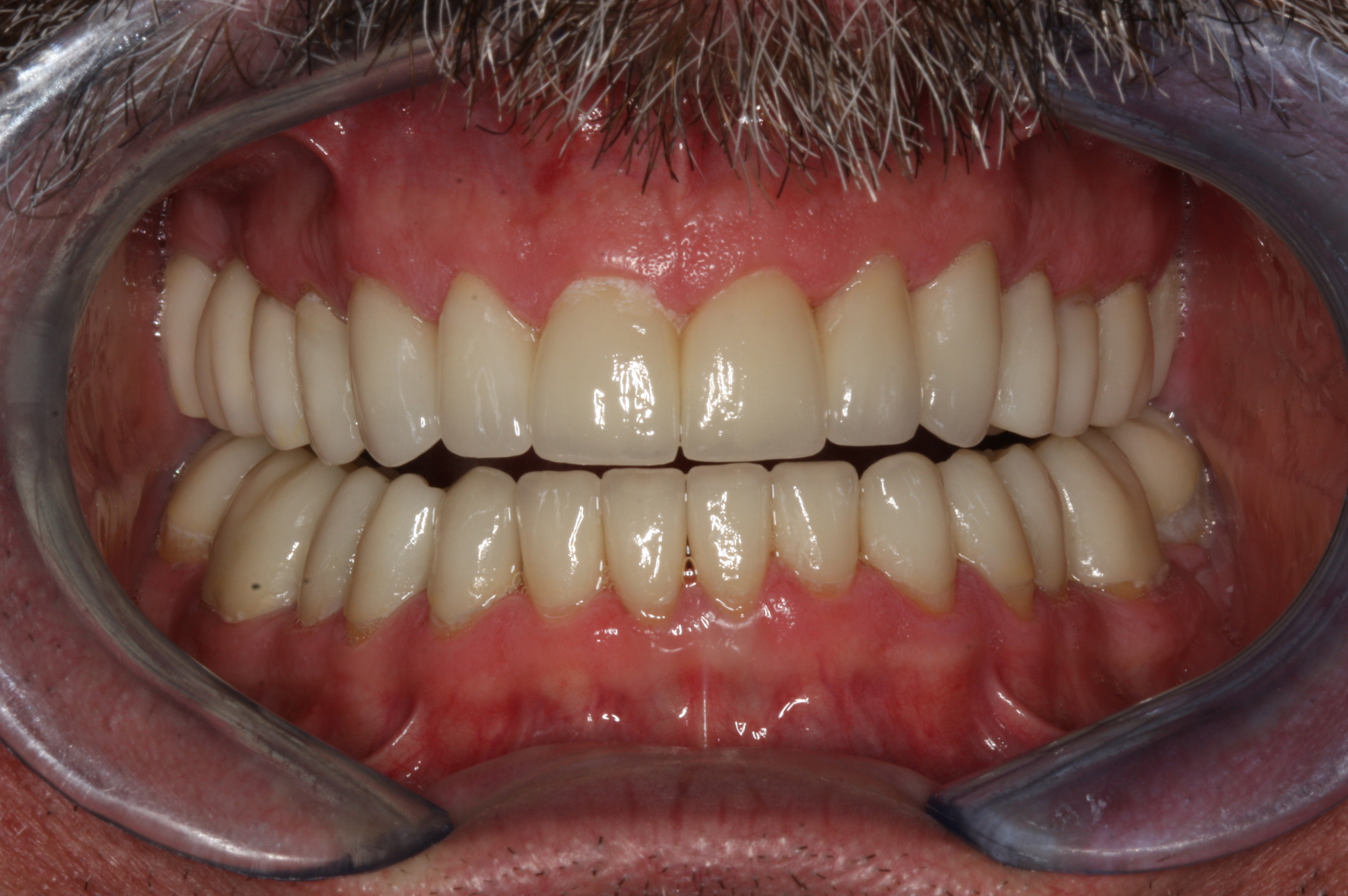
Our Smile Gallery
Why Choose Our Dental Clinic Near You?
$60 Emergency Dental Exams
Complimentary Consultations
Financing Options Available
Dental Veneers
Invisalign
Neuromodulators
Emergency Dentistry
New Patient Experience With our Dentist Near You
Meet the doctor and discuss your personal oral health needs and desires. Here you’ll learn what we find while we work with you to determine the personalized approach that works best for you. Whether we set up a regular care schedule, design a treatment plan to address decay or gum issues, or discuss your cosmetic concerns, this is your chance to tell us what you like and don’t like about your smile and general oral health. Then our dentist in Lendrum will work with you to help you meet these goals.
Our Online Reviews
EXCELLENT Based on 379 reviews Posted on Google shannon luoTrustindex verifies that the original source of the review is Google. Mary is the best dentist! Very knowledgeable, skilled and caring. Treated my problems with wonderful techniques. I have seen her for over 20 years and introduce all my relatives and friends to see her. The staffs are very friendly and helpful too. Awesome place, highly recommended!Posted on Google N J G SahaTrustindex verifies that the original source of the review is Google. I can “refresh” my review… after several years I can stand by this review. “Very kind folks. Excellent if you are nervous or delicate!! They are gentle and thorough and keep a keen eye on sterility. Very professional. Great service. Reasonably priced. Highly recommend. I was referred here by a neighbour. I have recommended to others and heard back that they are equally pleased.”Posted on Google Geoffrey GaetzTrustindex verifies that the original source of the review is Google. Very professional. And a great experience!Posted on Google Leslie PsychologistsTrustindex verifies that the original source of the review is Google. Jennifer was thorough caring and explained all procedures making this a positive experience. ThanksPosted on Google PamTrustindex verifies that the original source of the review is Google. Treated with expertise & understanding, makes dentist visits much easierPosted on Google anaTrustindex verifies that the original source of the review is Google. Maria was amazing did a wash and style I’ve never looked betterPosted on Google Tracey DerwingTrustindex verifies that the original source of the review is Google. Dr. N is a gentle, efficient dentist and Babica, the dental assistant, was thoughtful and helpful. This is a great dental office.Posted on Google Connie OTrustindex verifies that the original source of the review is Google. MAK Dental makes going to the dentist enjoyable. My dental visit was pleasant, and I was able to stay calm throughout my treatments.Posted on Google Dr. BobTrustindex verifies that the original source of the review is Google. Recommended by our daughter. This was our first apt. What a happy place and it was a dental office! The staff were absolutely lovely, personable, friendly. I found the staff thorough and very skilled. I highly recommend this business! Bob
Communities We Serve
Finding the proper dentist near you can help make dental care easier and more consistent. Our clinic is located at 5534 111 St NW, Edmonton, AB T6H 3E9, Canada, enabling us to provide more personalized services. We aim to help people of all ages to retain a healthy and confident smile with a focus on comfort and prevention.


